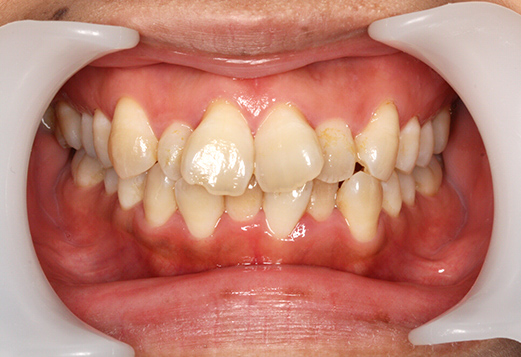
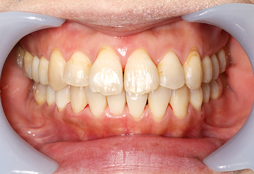
まずは具体的な歯のお悩みをしっかりと伺っていきます。それぞれの矯正装置にはメリット・デメリットがありますので、見た目だけを基準にせず、患者さまの症状・条件に合っているかも考慮して決定していきましょう。

日本でまだ導入している歯科医院も少ない口腔内3DスキャナーiTero(アイテロ)を使用し、光センサーによる歯の型取りをおこなっています。
スキャンした画像は3Dデジタルデータになり、モニター上で矯正後のイメージを見ていただけます。また、従来の型取りよりも高精度な歯型が取れるため、高い治療結果をもたらすことができます。
当クリニックでは、数多くあるマウスピースの矯正システムの中でも世界的にもっとも普及している「インビザライン」を採用。
症例数が多いだけでなく、独自開発の「3Dシミュレーションシステム」によって事前に治療後の歯並びも確認できるため、大変信頼のおけるシステムです。






※日本歯科矯正学会の指針に則り、矯正の可否は歯科医師が判断します。※ 症状が強い場合は適応にならない場合があります。


| 施術名 | : | マウスピース矯正 |
|---|---|---|
| 施術のリスク | : | 疼痛・咬合痛を生じる事があります。また歯並びが変わる事により違和感を生じる事があります。 |
| 治療期間 | : | 1年4か月 |
| 施術の価格 | : | 850,000円 (税込935,000円) |
| カウンセリング(初診) | 無料 |
|---|---|
| iteroによる簡易シミュレーション | 無料 |
| 精密検査 | 55,000円(税込) |
| インビザライン フル | 935,000円(税込) |
| インビザライン igo(前歯部矯正) | 462,000円(税込) |
※すべて税込価格です。
※クレジットカードの分割手数料は除きます。



患者さまの口内を十分に把握したうえで判断していくため、口腔内スキャナーやレントゲン撮影などの精密検査を行います。
患者さまの症状をお伝えし、具体的な治療計画を立てていきます。


虫歯や歯周病などの治療を終え、口内を健康な状態に整えてから矯正装置を装着していきます。患者さまの歯並び・噛み合わせの状況、歯の動き方などによって治療期間に差はありますが、およそ1年半から3年程度の治療期間となります。定期的にご来院いただき、装置の調整や歯の動きを経過観察していきます。


予定の位置へ歯並びが整ったことを確認し、装置を取り外します。その後は「保定装置」を装着し、歯が元に戻ろうとする動きを防止します。歯を動かすのわけではないのでシンプルな装置となっており、通院頻度も少ないので患者さまの負担も軽くなります。矯正歯科治療の保定期間としては2年前後を目安とします。

痛みはありますか?
装着してから2~3日は痛みを感じる方もいらっしゃいますが、ワイヤーに比べ強い力がかからないため、痛みは少なくなっています。
マウスピース装着時は喋りづらいですか?
初めの数日間は違和感を感じる方もいらっしゃいますが、慣れてくると問題なく普段通りに会話していただけます。
食事に影響はありませんか?
マウスピースは取り外しができるため、お食事のときは外していただけます。また、歯磨き等の口腔ケアもしやすく、衛生的です。
1日の装着時間はどのくらいですか?
毎日20時間以上の装着をお願いしています。お食事や歯磨きの時以外は装着していただくことが好ましいです。
矯正期間はどのくらいで終わりますか?
治療内容によって期間は異なりますが、7~24か月程度で矯正治療が終了します。矯正治療終了後はメンテナンスに移行します。※矯正治療期間には個人差があります。
※装着時間が短い場合、予定通りに治療が進まない可能性があります。
当クリニックでは患者さまの視点で考え、親切で分かりやすい説明、
そして治療した歯ができるだけ長持ちするような丁寧な診療を心掛けております。
安心安全の診療体制・滅菌設備
徹底した器具の滅菌と管理
「カウンセリングからケアまで」
ドクターが一貫して担当
「平日忙しい方も安心」
土曜日診療を実施
「人目を気にせずに治療できる」
個室診療室を完備
「車椅子・お年寄りの方も安心」
院内はバリアフリー
「歯医者が怖い方も安心」
痛みの少ない治療

Dr.MURAKAMI TOYOTAKA
歯科医療は最も身近な医療なので地域の方に安心を!
身近な医療であるからこそ、患者さまが何でも気軽に質問でき、納得のいく説明、治療を受けられることが大切であると私は考えております。
当クリニックでは患者さまの視点で考え、親切で分かりやすい説明、そして治療した歯ができるだけ長持ちするような丁寧な診療を心掛けております。
また、医院を構えております北砂、東砂近くの地域にお住まいの皆様に信頼していただける歯医者として、患者さまお一人お一人と真摯に向き合っております。
北砂・東砂地域にある多くの歯科医院の中から当クリニックをお選びいただいた患者さまに「本当に良かった」そう思っていただける歯科医院であるように、ドクター、スタッフ一同、努力しております。
どうぞお気軽にご来院下さい。
医学博士 村上 豊隆
【略歴】
2007年3月 日本大学歯学部卒業 歯科医師免許取得
2007年4月 日本大学歯学部 研修診療部Ⅱ勤務
2008年4月 ヒロデンタルオフィス勤務
2012年3月 日本大学医学部大学院修了
2011年4月 北砂デンタルクリニック勤務
【所属学会等】
ハーバード大学CEコース修了
ニューヨーク大学インプラント研修コース修了
(社)日本口腔インプラント学会認定医講習会修了
厚生労働省 歯科医師臨床研修指導歯科医講習会修了
日本口腔インプラント学会会員
インプラント再建歯学研究会会員
医院名
北砂デンタルクリニック
住所
〒136-0073 東京都江東区北砂6-19-27
アクセス
【電車でお越しの方】
都営新宿線 大島駅より 徒歩7分
【バスでお越しの方】
① 錦糸町駅または西大島駅から【錦28系統】
東大島駅行き(北砂六丁目下車 徒歩1分)
② 大島駅から【亀21系統】
東陽町駅行き(北砂六丁目下車 徒歩3分)
【お車でお越しの方】
駐車場完備
電話番号
03-3649-4618
| 診療時間 | 月 | 火 | 水 | 木 | 金 | 土 | 日 | 祝 |
|---|---|---|---|---|---|---|---|---|
| 9:00-12:30 | ● | ● | ● | × | ● | ● | × | × |
| 14:30-19:00 | ● | ● | ● | × | ● | ● | × | × |
※最終受付時間は診療終了時間の30分前
【休診日】木曜・日曜・祝日
※マウスピース矯正治療は歯並びによって、不適用の場合もございます。
※マウスピースを毎日20時間以上、装着していただく必要があります。難しい場合は従来の固定式の矯正治療をご提案する場合もあります。
※保険適用外の自由診療となります。
ご心配、ご不明な点等お気軽にご相談ください。

